La selva herida: neuroinflamación y el destino de la materia blanca en los atletas del siglo XXI
Biografía · Cajal Hoy · Regeneración del sistema nervioso

La selva herida: neuroinflamación y el destino de la materia blanca en los atletas del siglo XXI

· Santiago Ramón y Cajal

Un diálogo entre la neurociencia de 2026 y el Legado de Santiago Ramón y Cajal.

Santiago Ramón y Cajal
Santiago Ramón y Cajal.

“Toda persona puede ser, si se lo propone, escultor de su propio cerebro”. Con esta sentencia, Santiago Ramón y Cajal no solo definió la plasticidad neuronal, sino que estableció un imperativo ético para la posteridad. Sin embargo, ¿qué sucede cuando el cincel de la voluntad es sustituido por el martillo de los impactos repetitivos? En los campos de juego del siglo XXI, los traumatismos craneales actúan como una tormenta invisible que despoja al “vivero del espíritu” de su lozanía, dejando tras de sí un paisaje de desolación biológica que la ciencia de 2026 comienza a cartografiar con una precisión sobrecogedora.

La comprensión contemporánea de las lesiones cerebrales ha trascendido la fase puramente mecánica para adentrarse en la elegía de las células. La neuroinflamación crónica no es un simple acompañante del trauma, sino el mediador crítico que transforma el esfuerzo atlético en un declive cognitivo tardío. Este proceso, inicialmente orquestado para la defensa y reparación, puede derivar en una patología maladaptiva (conjuntos de conductas, rasgos, esquemas cognitivos o reacciones emocionales que resultan perjudiciales, disfuncionales o ineficaces para la adaptación de una persona a su entorno) que erosiona la integridad de la materia blanca, específicamente en las redes límbicas responsables de la memoria y la regulación emocional.

Detener las contusiones
Detener las contusiones.

El mapa del naufragio biológico: el estudio DIAGNOSE CTE (2026)

El 25 de febrero de 2026, la revista Neurology publicó un avance significativo en la búsqueda de biomarcadores in vivo para enfermedades neurodegenerativas vinculadas al deporte. Bajo el marco del proyecto DIAGNOSE CTE (Diagnostics, Imaging, and Genetics Network for the Objective Study and Evaluation of CTE), investigadores de la Universidad de Florida y la Universidad de Boston han logrado observar la huella del trauma en el cerebro vivo, identificando la inflamación como un puente biológico hacia la destrucción estructural.   

El estudio analizó una cohorte de 223 hombres, incluyendo 170 exjugadores de fútbol americano con una media de 57 años. Los resultados revelaron una realidad clínica inquietante: el 59% de los atletas presentaba un deterioro cognitivo objetivo y el 58% mostraba una desregulación neuroconductual, cifras que contrastan con la integridad observada en el grupo de control. Estos hallazgos sugieren que la exposición prolongada a impactos —un mínimo de seis años universitarios o doce profesionales— dicta una trayectoria de riesgo que el Sabio describiría como el despertar de los “instintos atroces” de la propia biología celular.   

Tabla 1: perfil demográfico y clínico de los participantes (estudio Neurology 2026)

Parámetro****Exjugadores de fútbol (n=170)****Controles no expuestos (n=53)****Contexto y significaciónEdad promedio (años)57.259.4Grupos comparables en madurez Deterioro cognitivo objetivo59%0%El peso de los impactos acumulados Desregulación neuroconductual58%2%La erosión del control emocional Representación racial (negro)33%34%Cohorte con diversidad demográfica

El análisis de biofluidos identificó tres centinelas de la inflamación: la interleucina-6 (IL-6), el factor de necrosis tumoral alfa (TNF-α) y la proteína ácida fibrilar glial (GFAP). La elevación de estos marcadores en el plasma y el líquido cefalorraquídeo se asocia con cambios microestructurales en la materia blanca límbica, una red de fibras que Cajal visualizó como los “caminos de la selva” que conectan el hipocampo con la emoción.

Diagrama del cerebro humano que ilustra el sistema límbico y sus componentes, incluyendo el tálamo, glándula pineal, hipocampo, cerebelo, amígdala, hipotálamo, glándula pituitaria y ganglios basales.

La microestructura en penumbra: el sistema límbico y la materia blanca

En su obra “Textura del sistema nervioso del hombre y los vertebrados”, Cajal detalló la arquitectura del asta de Amón y sus conexiones con una devoción casi mística. En 2026, la imagen por tensor de difusión (DTI) nos permite evaluar la integridad de estos circuitos mediante la anisotropía fraccional (FA) y la difusividad media (MD).   

Los hallazgos indican que la inflamación explica una parte sustancial de la varianza en la degradación de la materia blanca límbica (3% para IL-6 y 5% para TNF-α). Aunque estas cifras son modestas, resultan estadísticamente fundamentales en la cascada degenerativa: la inflamación daña primero la estructura (tractos como el fórnix y el cíngulo) y esta alteración estructural es la que finalmente aniquila la memoria. Es imperativo notar que estas asociaciones fueron considerablemente más fuertes en el subgrupo de atletas con “CTE probable”, aquellos que sufren el síndrome de encefalopatía traumática (TES) con mayor severidad.   

El centinela traidor: la microglía y la disputa del “tercer elemento”

Cajal mantuvo una célebre controversia con su discípulo Pío del Río Hortega sobre la naturaleza de la microglía, el “tercer elemento” del sistema nervioso. El Sabio sospechaba de su capacidad fagocítica, pero hoy sabemos que estas células son las guardianas de la salud sináptica. Sin embargo, ante el trauma repetitivo, su vigilancia se torna en paranoia destructiva.

Tras los impactos, la microglía se polariza hacia el fenotipo M1 (proinflamatorio), liberando TNF-α que altera la excitabilidad de los circuitos en el área CA1 y el giro dentado. Investigaciones de 2026 en modelos animales han demostrado que la depleción selectiva de estas células mediante el tratamiento con PLX-3397 durante la fase subaguda restaura la excitabilidad de la red hipocampal. Este hallazgo valida la hipótesis de que la inflamación no es solo un residuo del daño, sino el agente activo que impide la recuperación funcional.

Horizontes de redención: berberina y el despertar de la plasticidad

La ciencia del futuro busca hoy cumplir el anhelo de Cajal de derogar el “duro decreto” de la inmutabilidad neuronal. En febrero de 2026, se han consolidado pruebas de que la berberina (BBR), un alcaloide natural, puede actuar como un “diplomático molecular” capaz de reprogramar la respuesta inmunitaria del cerebro.

El mecanismo de la berberina implica la inhibición de la vía de señalización MAP**K en la microglía, desplazando su polarización hacia el fenotipo reparador M2. Esta intervención no solo silencia la marea de citocinas proinflamatorias, sino que preserva las proteínas sinápticas (PSD95 y sinaptofisina) y restaura la densidad de las espinas dendríticas, facilitando la potenciación a largo plazo (L**TP) esencial para el aprendizaje.

Tabla 2: impacto de la berberina (BBR) en la función sináptica (datos 2026)

Mecanismo celularEfecto observadoResultado neurológicoPolarización microglialCambio de fenotipo M1 a M2Reducción de IL-1β\beta y TNF-αVía de señalizaciónInhibición de la fosforilación MAP**KBloqueo de la cascada inflamatoriaIntegridad sinápticaPreservación de PSD95Mantenimiento de la red neuronalPlasticidad funcionalAumento de densidad de espinasMejora en la memoria espacial

A este avance farmacológico se suma la estimulación multisensorial basada en el eje intestino-cerebro. Esta técnica no invasiva aumenta la producción de butirato por la microbiota intestinal, un ácido graso que cruza la barrera hematoencefálica y promueve la polarización microglial M2, protegiendo las regiones CA3 del hipocampo.

El imperativo de la prudencia: hacia una nueva ética del esfuerzo

La evidencia científica de 2026 es un clamor por la prevención primaria. Se ha demostrado una relación dosis-respuesta clara entre el conteo de impactos (Hit Count) acumulado y el riesgo de degeneración. En el fútbol americano, la implementación de la regla de la corona del casco (CHR) ha reducido las concusiones defensivas entre un 29% y un 32%, demostrando que el cambio normativo salva tejidos biológicos.

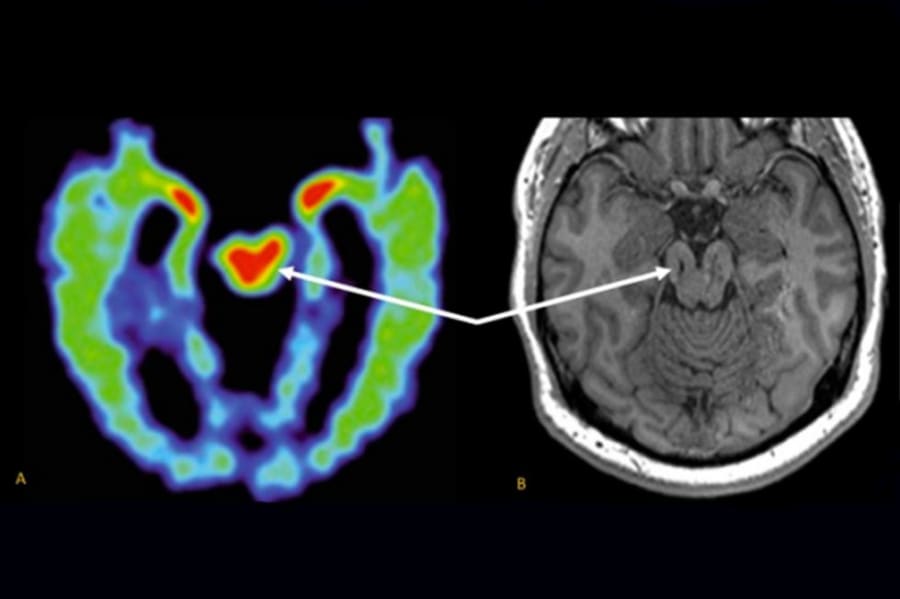
Resonancia magnética de una lesión cerebral. UCLA Health. Comparación entre una tomografía por emisión de positrones (PET) de un jugador de la NFL, que revela una acumulación anómala de proteínas característica de la encefalopatía traumática crónica (izquierda), y una resonancia magnética que muestra un mesencéfalo anormalmente pequeño en un antiguo jugador de fútbol americano de instituto. Ambos pacientes presentan sospecha de patología de ETC en la región del mesencéfalo (flechas).
Resonancia magnética de una lesión cerebral. . Comparación entre una tomografía por emisión de positrones (PET) de un jugador de la NFL, que revela una acumulación anómala de proteínas característica de la encefalopatía traumática crónica (izquierda), y una resonancia magnética que muestra un mesencéfalo anormalmente pequeño en un antiguo jugador de fútbol americano de instituto. Ambos pacientes presentan sospecha de patología de ETC en la región del mesencéfalo (flechas).

El protocolo de prevención de 2026 sugiere medidas drásticas pero necesarias: reducir el 50% del contacto en los entrenamientos y retrasar la introducción de impactos repetitivos hasta los 14 años. De este modo, la mayoría de los atletas jóvenes limitarían su exposición a solo cuatro años, protegiendo el “bosque joven” neuronal durante su fase más crítica de maduración.   

Epílogo: la ciencia como acto de amor a la vida

Para Santiago Ramón y Cajal, la anatomía era la arquitectura del pensamiento. Los descubrimientos de 2026 sobre la neuroinflamación en atletas no son meras estadísticas; son la confirmación de que nuestra selva interna es sensible y que su destino está en nuestras manos. Al identificar a la microglía y las citocinas como los agentes de la selva herida, estamos un paso más cerca de transformar la tragedia del trauma en una sinfonía de recuperación.

La neurociencia actual honra al Sabio al reconocer que el cerebro es un templo que debe protegerse con sabiduría, nutrición y una nueva cultura del respeto a la integridad mental. La selva herida puede volver a florecer si sabemos ser, con el rigor de la ciencia y el fuego de la voluntad, los escultores de un futuro sin el peso del olvido inducido por el juego.

Bibliografía seleccionada

Para activar los comentarios: ve a giscus.app, introduce el repositorio joseadserias-dotcom/cajal-digital y reemplaza los IDs en src/layouts/Articulo.astro.

Para activar los comentarios: ve a giscus.app, introduce el repositorio joseadserias-dotcom/cajal-digital y reemplaza los IDs en src/layouts/Articulo.astro.

Recibe los ensayos de la semana

Una carta de amor al conocimiento. Sin spam. Baja cuando quieras.